316 West Helen Avenue, Punta Gorda, FL 33950

An adult woman with blonde hair is seated in a dental chair, smiling at the camera, while wearing an eye mask.

Smile Gallery

An adult woman with blonde hair is seated in a dental chair, smiling at the camera, while wearing an eye mask.
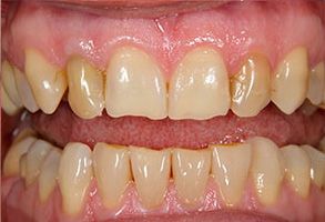
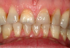
The image is a close-up photograph of an individual's mouth, showcasing yellowed teeth with some staining and discoloration.

Before

The image is a close-up photograph of a person's smiling face, showcasing their teeth and mouth.

After

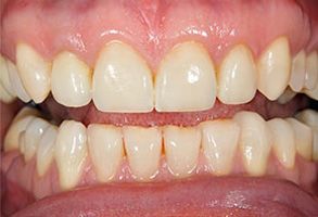
The image shows a close-up of a person's teeth with an upper lip partially visible, displaying a smile with yellowed and stained teeth.

Before

The image displays a close-up of a person's teeth, showing a bright yellowish hue and some wear on the enamel.

After

The image shows a close-up of a person's smiling face, focusing on the teeth and lips, with a focus on dental health.

Before

The image features a close-up of a person's smile, showcasing teeth and lips, with the individual appearing to be male.

After

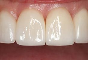
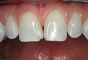
The image shows a close-up of a person's mouth with a focus on the teeth, which are white and appear to be in good condition.

Before

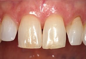
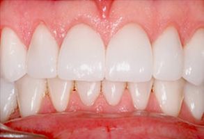
The image shows a close-up of a person's teeth, with the focus on a set of white, straight teeth and pink gums.

After

The image shows a close-up of a person's teeth with a focus on the lower front teeth, which appear to be discolored and in need of dental care.

Before

The image shows a close-up of a person's teeth with an emphasis on the lower front teeth, which appear to be in need of dental care.

After

The image shows a close-up of a person's teeth with yellowing, indicating possible dental issues or staining.

Before

Image of a close-up view of a person's teeth with a focus on the lower front teeth, showcasing a bright and clean smile.

After

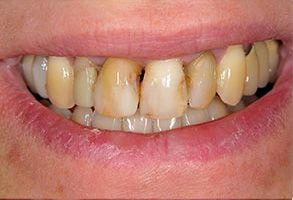
The image shows a close-up of a person's mouth with yellowed teeth and a partial bridge, highlighting dental issues.

Before

The image shows a close-up of a person's teeth, with the focus on the lower front teeth, which appear to be discolored or stained.

After

Contact Us

Schedule your appointment online or give us a call to get started today.

Cayo Costa Dental 316 West Helen Avenue, Punta Gorda, FL 33950